
Psoriazisul este o boală cronică a pielii caracterizată printr-un curs asemănător unui val. Cel mai adesea, psoriazisul se manifestă ca o leziune specifică a pielii, care poate fi localizată pe orice zonă a pielii.
Psoriazisul inițial nu poate fi întotdeauna recunoscut imediat. Cu toate acestea, acest lucru este posibil dacă acordați atenție simptomelor caracteristice în timp util. Dacă consultați un dermatolog la timp, dezvoltarea erupției cutanate poate fi încetinită și oprită. Prin urmare, este important să știți ce semne indică prezența patologiei.
Cauzele psoriazisului. Etapa inițială
Nu există fapte de încredere în această chestiune. Psoriazisul nu este o boală pe deplin înțeleasă. Cu toate acestea, există factori cunoscuți care pot contribui la apariția acesteia:
- predispoziție genetică (printre cei mai comuni factori);
- disfuncție a sistemului imunitar (de asemenea provoacă adesea apariția psoriazisului);
- probleme endocrine;
- infecție recentă cu streptococ (durere în gât)
- prezența bolilor cronice (în special inflamatorii);
- obiceiuri proaste, cum ar fi dependența de alcool și țigări;
- stres frecvent.
Psoriazisul poate fi găsit la persoane de orice sex și vârstă. Cu toate acestea, mai des persoanele cu vârsta peste 25-30 de ani sunt susceptibile la aceasta.
Simptomele fazei inițiale
Cu psoriazisul în stadiul inițial, simptomele sunt ușoare. Cu toate acestea, le puteți observa.
Pentru a înțelege cum începe psoriazisul, ar trebui să acordați atenție următoarelor simptome tipice:
- Creșterea uscăciunii și a descuamării pielii. O persoană simte disconfort la nivelul coatelor, genunchilor, spatelui și scalpului. Cu toate acestea, aceste zone pot diferi de la caz la caz.
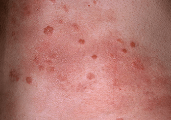
- Prezența unor erupții cutanate specifice. Tipic pentru psoriazis sunt papule mici de culoare roz-roșu (elemente erupții cutanate plate, ușor ridicate deasupra nivelului pielii) cu limite clare, care se contopesc treptat unele cu altele.
- Scuze pe suprafața erupției cutanate. Au o culoare argintie sau albicioasă. Ele sunt ușor de îndepărtat din erupții cutanate, dar acest lucru poate duce la formarea de fisuri sau la apariția unor senzații subiective neplăcute.
În unele tipuri de psoriazis („pustular”), erupția poate să nu fie sub formă de pete, ci sub formă de mici formațiuni convexe cu conținut purulent în interior. În fotografia formei inițiale de psoriazis puteți vedea cum se manifestă diferite tipuri de psoriazis și simptomele lor.
Cu psoriazisul unghiilor, erupția cutanată afectează în primul rând placa. În acest caz, semnele inițiale sunt următoarele:
- formarea de mici depresiuni pe unghii (simptomul „degetar”)
- modificări în structura plăcii unghiei - unghia se îngroașă și devine casantă
- schimbarea culorii plăcii unghiei - unghia poate căpăta o nuanță galbenă, sub unghie apar pete portocalii-roșii
- îngroșarea pielii de sub unghie;
- slăbirea plăcii și decojirea acesteia (nu întotdeauna);
- mici linii longitudinale întunecate sub placa unghiei (simptom nespecific, rezultat din hemoragia sub placa unghiei)
- roșeață a găurii unghiei.
Fotografiile cu simptomele stadiului inițial al psoriazisului vă vor ajuta să navigați mai bine.
Primele simptome sunt destul de vagi și nu se manifestă clar. În plus, ele sunt similare cu simptomele altor boli dermatologice, care pot duce la dificultăți în diagnosticare. Din acest motiv, este extrem de important să faceți imediat o programare la spital - pentru un diagnostic mai precis.
Toate etapele psoriazisului
Există trei etape cheie în dezvoltarea bolii:
- Etapa inițială sau progresivă. Pe piele apar numeroase papule mici. O trăsătură distinctivă a acestei etape a bolii este apariția erupțiilor cutanate în zonele cu traumatisme cutanate recente; cum arată psoriazisul în stadiile inițiale se vede în fotografie.
- Staţionar. Erupțiile cutanate devin mai mari în dimensiune și încep să se îmbine unele cu altele, formând plăci mari cu contururi neclare. Nu apar elemente noi ale erupției cutanate, dar pe suprafața erupției se formează un număr mare de solzi.
- Final. Erupția începe să scadă și dispare treptat de la sine. Poate lăsa în urmă o ușoară pigmentare, care va dispărea de la sine în timp, sau o zonă de culoare mai deschisă în comparație cu pielea sănătoasă din jur.

Adesea apare întrebarea - „Psoriazisul mâncărime în stadiile inițiale și ultimele”? Pentru psoriazis, mancarimea este un simptom necaracteristic; poate să nu existe.
Cu fiecare exacerbare, boala trece prin toate cele trei etape în ordine. Cu toate acestea, dacă tratamentul este început chiar la începutul primei etape, progresia erupției cutanate poate fi prevenită.
Pentru majoritatea oamenilor, simptomele sunt ciclice. De obicei, în timpul următorului focar persistă câteva săptămâni, apoi slăbesc treptat și dispar. Forma psoriazisului incipient determină modul în care arată fotografiile și simptomele reale
Tratamentul stadiului inițial al psoriazisului
Când detectați primele semne suspecte, trebuie să contactați un dermatolog.
Psoriazisul în stadiu incipient necesită un tratament minim cu medicamente. În principal extern.
Utilizate de obicei:
- Unguente și creme non-hormonale. Ele formează baza terapiei, deoarece pot fi utilizate în orice stadiu al bolii, inclusiv în timpul remisiunii. Acţionează cu blândeţe şi adesea nu au efecte secundare. Ele ameliorează peelingul, roșeața, senzațiile subiective și încetinesc procesele inflamatorii.
- Unguente și creme hormonale. În stadiul inițial al bolii, ele sunt utilizate, de regulă, pentru inflamația severă sau un tip special de psoriazis (exudativ). Aceste medicamente pot face față rapid inflamației în zona afectată a pielii. Cu toate acestea, unguentele și cremele hormonale nu sunt potrivite pentru utilizare continuă, deoarece pot provoca reacții adverse la utilizarea prelungită. Fotografiile vor demonstra cel mai bine măsura în care începe psoriazisul - atât la adulți, cât și la copii.
- Geluri și creme hidratante. Calmează și catifelează pielea. Poate fi folosit ca îngrijire suplimentară.
- Complexe de vitamine. O măsură suplimentară pentru a susține puterea și rezistența organismului la boli. În primul rând, vitamina A este folosită pentru psoriazis, deoarece afectează diviziunea celulară a celulelor pielii și procesul de formare a solzilor. În stadiul progresiv al bolii, complexele multivitaminice, de regulă, nu sunt prescrise.
- Proceduri fizioterapeutice. Deosebit de eficient în fazele inițiale. Fototerapia (UVB sau PUVA), precum și expunerea cu excimer la razele UV și laser, sunt prescrise mai des.
În cele mai multe cazuri, medicamentele sunt prescrise de un medic. Mai multe medicamente pot fi utilizate în combinație. Dacă semnele bolii sunt ușoare, puteți face fără medicamente pe cale orală și puteți utiliza numai formulări externe non-hormonale.
Prevenirea stadiului inițial al psoriazisului
Măsurile preventive ajută la întârzierea manifestărilor bolii și, prin urmare, la prelungirea perioadei de remisie. Dacă urmați regulile de prevenire direct în timpul unui atac, acestea vor ajuta la reducerea simptomelor și la accelerarea recuperării.
Măsurile de prevenire cheie sunt:
- Eliminarea stresului. Sau minimizarea lui. Stresul perturbă foarte mult funcționarea sistemului nervos, ceea ce afectează grav starea generală a corpului. Pentru a face față mai bine dispoziției tale emoționale, te poți înscrie la un curs de psihoterapie. Clasele pot fi individuale sau de grup.
- Dieta. Dieta trebuie să fie sănătoasă, echilibrată și să conțină alimente hipoalergenice. Baza meniului sunt proteinele, legumele crude și produsele din lapte fermentat. Ar trebui să evitați alimentele nedorite, cum ar fi dulciurile și produsele de patiserie. Alimentele prăjite și afumate, alimentele picante și prea sărate și conservele nu sunt, de asemenea, binevenite. Pe Internet puteți găsi fotografii cu psoriazis la începutul bolii și după stabilirea unei diete.
- Bea multe lichide. De obicei se recomandă să bei 1,5-2 litri de apă purificată pe zi. Cu toate acestea, este important să te concentrezi pe sentimentele tale și să nu urmezi orbește recomandările.
- Complexe de vitamine. Este recomandabil ca vitaminele să fie prescrise de un medic - după teste.
- Modul. Mâncatul, trezirea și mersul la culcare ar trebui să fie conform unui program. Acest lucru face ca organismul să își mențină mai ușor o activitate adecvată. Este indicat să te trezești și să te culci devreme.
- Aer proaspăt. Este important să faceți plimbări în aer curat în fiecare zi. Reduce stresul și este, în general, benefic pentru organism.
- Îngrijire a pielii. Merită să folosiți în mod regulat creme emoliente și hidratante. Mai ales după tratamentele cu apă.
- Haine și pantofi confortabili. Fabricat din materiale naturale moi. Pantofii trebuie să se potrivească corect, iar îmbrăcămintea trebuie să fie lejeră.
- Consultații regulate cu un medic. Și examene. Acest lucru vă va ajuta să monitorizați starea corpului și să creșteți probabilitatea de a preveni psoriazisul.
Astfel, fotografiile cu simptomele psoriazisului cutanat în stadiile inițiale și ulterioare arată clar neplăcerea acestei boli. Prin urmare, merită să aveți grijă de prevenire.
Este important de reținut că, în marea majoritate a cazurilor, psoriazisul se manifestă ca urmare a unui stres sever. Prin urmare, în primul rând, este important să aveți grijă de o stare de spirit armonioasă și de rutina zilnică.

















